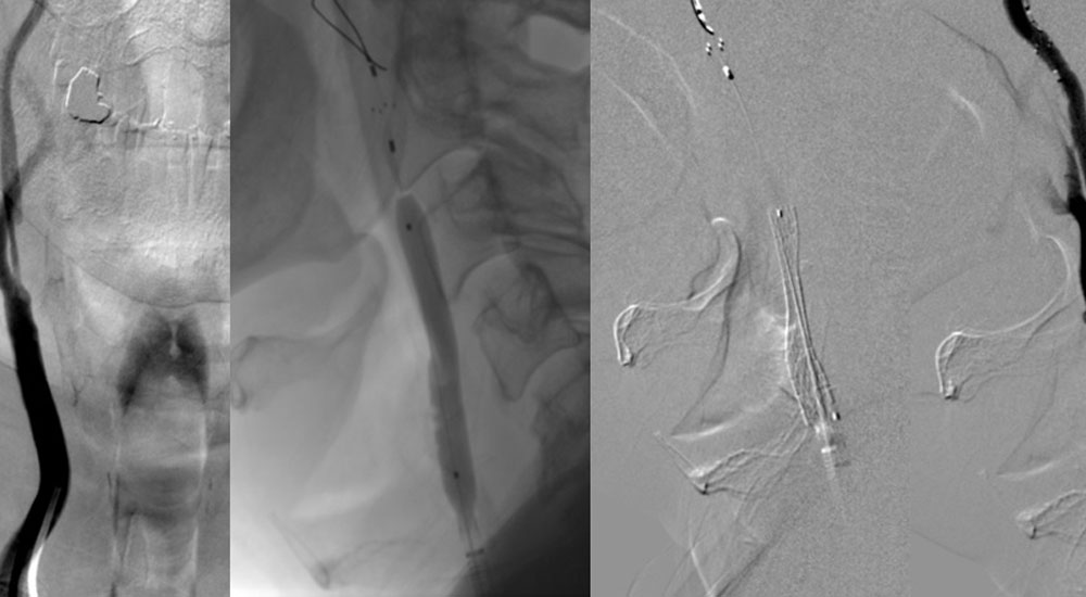
Digital subtraction angiography (DSA) is a fluoroscopic technique used extensively in interventional radiology for visualizing blood vessels. Radiopaque structures such as bones are eliminated ("subtracted") digitally from the image, thus allowing for an accurate depiction of the blood vessels.
Angiography is largely possible thanks to the Seldinger technique (first described in 1953) for intravascular access.
Digital subtraction angiography, whereby a pre-contrast image is acquired, then subtracted from subsequent post-contrast images, was made possible in the 1970s, thanks to real-time refreshing of the resulting images.
There are numerous indications for angiography and their number has been on the rise ever since interventional radiology has been shown to successfully supplant many open vascular procedures.